Результаты исследования, поддержанного грантом Российского научного фонда (РНФ), опубликованы в журнале Veterinary Sciences (прим. – Пресс-служба РНФ).
«Использование цитохром P450-редуктазы в качестве ключевого индикатора позволит создать более экономичные и чувствительные системы отслеживания состояния водоемов. С помощью этого показателя природоохранные службы смогут объективно разделять территории по экологическому риску и оценивать эффективность очистительных мероприятий», - заявил доцент Санкт-Петербургского государственного университета ветеринарной медицины Владимир Пономарев, чьи слова приводит пресс-служба РНФ.
Как объясняют ученые, в клетках печени всех позвоночных живых существ присутствует набор ферментов, отвечающих за расщепление молекул различных токсинов, попадающих в организм из окружающей среды и вместе с пищей. Важную роль в этом процессе играет один из подобных белков, цитохром P450-редуктаза, чья активность быстро растет по мере увеличения доли токсинов в теле.

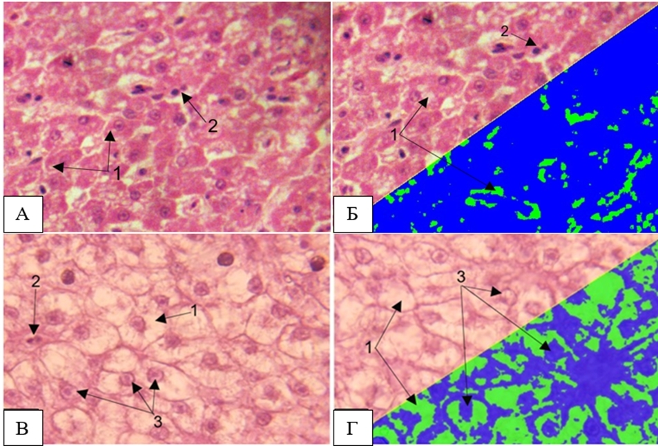
Микрофотографии ткани печени. (A,B) — здоровая рыба, (C,D) — рыба из Ладожского озера. 1 — Вакуолизация цитоплазмы гепатоцитов. 2 — Двуядерные клетки. 3 — Смещение ядер к периферии гепатоцитов. Источник: Владимир Понамарев
Российские ученые предположили, что данную особенность фермента можно использовать для отслеживания уровня загрязненности водоемов, замеряя его активность в теле рыб, пойманных в разных участков рек, озер или прудов. Руководствуясь этой идеей, исследователи собрали пробы воды из Ладожского озера в окрестностях Шлиссельбурга и других населенных пунктов, а также выловили лещей, плотву, окуней и судаков в этих же участках водоема.
Исследователи проанализировали состояние печени и жабр этих рыб и провели аналогичное исследование для тех же видов, выращенных на экологически чистой акваферме. Оказалось, что уровень активности цитохром P450-редуктазы действительно отражает загрязненность воды - концентрация данного пептида была в 15-20 раз выше в клетках рыб из тех регионов озера, где доля тяжелых металлов в воде была в 2-5 раз выше предельно допустимых значений.
Рост активности этого фермента и доли токсинов в воде также сопровождался появлением характерных повреждений жабр и печени, связанных с накоплением тяжелых металлов. В перспективе, это позволит экологам оперативно отслеживать уровень загрязненности вод различных пресноводных водоемов, а также оценивать эффективность мер, предпринимаемых для их очистки и защиты фауны рек, озер и прудов от действия токсичных веществ, подытожили специалисты.