Новости

18 ноября, 2025 12:00

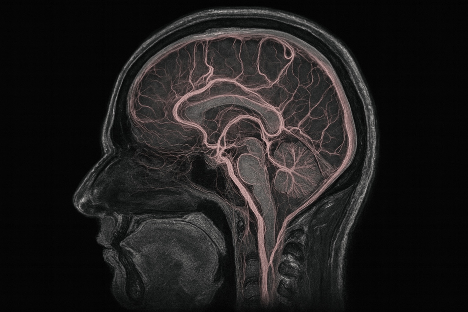
Ученые улучшили «оптическое просветление» тканей черепа

Источник: РИА Новости
Способ вдвое улучшить визуализацию сетей сосудов головного мозга с помощью пищевого красителя предложили специалисты СГУ. Такая технология может помочь отслеживать восстановление после инсульта, а также наблюдать за динамикой других неврологических заболеваний. Результаты исследования, выполненного при поддержке Российского научного фонда (РНФ), представлены в Journal of Innovative Optical Health Sciences (ред. - Пресс-служба РНФ).
Источник: Пресс-служба РНФ. Изображение создано с помощью нейросети.

Существующие методы визуализации кровотока в головном мозге (МРТ, КТ, УЗИ) дают полезные диагностические данные, но не всегда подходят для длительного динамического наблюдения за микрососудами, рассказали в Саратовском национальном исследовательском государственном университете (СГУ) имени Н.Г. Чернышевского.

В настоящее время для того, чтобы увидеть сосуды мозга с хорошим качеством, часто приходится истончать кость или делать отверстие в черепе, поскольку костный материал сильно рассеивает лазерный свет и «смазывает» изображение. Именно лазерный свет используется в одном из распространенных методов наблюдения за кровотоком в головном мозге — лазерной спекл-контрастной визуализации, рассказал младший научный сотрудник лаборатории биомедицинской фотоакустики СГУЮрий Сурков. Из-за рассеяния в кости получаются искаженные карты сосудов и перфузии головного мозга, добавил ученый.

Исследователи СГУ совместно с коллегами из Сеченовского университета, НМИЦ нейрохирургии имени Н. Н. Бурденко, НИУ МИЭТ и Университета Астон (Бирмингем, Великобритания) предложили способ примерно на 100 процентов увеличить контрастность карт сосудов, полученных при наблюдении мозгового кровотока через целый череп. Сосуды стали видны четче, а часть сосудистой сети, которая раньше терялась на фоне кости, проявилась и стала различимой.

«Представьте, что вы смотрите на пейзаж через матовое стекло: детали за ним расплываются, а картинка получается мутной. То же происходит, когда мы пытаемся увидеть кровоток в мозге сквозь череп любыми оптическими методами. Мы предлагаем два взаимодополняющих способа решения этой проблемы. Первый — сделать матовое стекло, а в нашем случае череп, временно более прозрачным. Второй — с помощью оптимизированных алгоритмов обработки данных отделить сигнал от движущейся крови от вкладов кости и других неподвижных структур, фактически "вычесть" влияние черепа из изображения», — объяснил Сурков.

Для увеличения прозрачности костей черепа ученые предложили использовать желтый пищевой краситель тартразин – разрешенную добавку Е102, которая используется в напитках, пюре, йогуртах и консервированных фруктах. «Цифровое» вычитание светового сигнала реализуется статистическими методами, различающими «полезный» и «мешающий» сигналы.

Когда эти два подхода используются одновременно, качество визуализации увеличивается и сосуды становятся видны гораздо отчетливее. Чем лучше виден мозговой кровоток, тем точнее можно оценивать, помогает ли лечение послеинсультных состояний или неврологических симптомов, как быстро восстанавливаются сосуды и какие зоны страдают сильнее, добавил Сурков.

«В перспективе такой подход может помочь врачу и при проведении операций на мозге — для оценки в режиме, близком к реальному времени, основных гемодинамических параметров кровотока прямо во время вмешательства. Этому способствует и доступность тартразина — метод можно относительно легко воспроизвести в лабораториях и клиниках других стран, где есть аналогичное оптическое оборудование», — подчеркнул исследователь.

В будущем специалисты планируют применить новый способ визуализации кровотока для исследования других тканей организма. Например, такое исследование кожи может оказаться полезным для ранней диагностики сахарного диабета и некоторых онкологических процессов, рассказали в СГУ.

Теги
Медицина
10 апреля, 2026
Устройство спектра: ученые из России сделали шаг к созданию первого лекарства от аутизма
Российские специалисты выяснили, что сниженная способность к обучению у мышей с аутистичным поведе...
1 апреля, 2026
Новый бесконтактный метод исследования сосудов способен «увидеть» работу глубоких артерий мозга
Впервые ученые смогли экспериментально доказать, что разработанный ими «зеленый фонарик» для сосуд...

Хотите рассказать о своем исследовании? Заполните форму на нашем сайте